Pathology
P ulmonary
Aliya N. Husain, M.D.
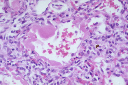
High power showing eosinophilic (pink) acellular hyaline membrane lining air spaces.