Pathology
P ulmonary
Aliya N. Husain, M.D.
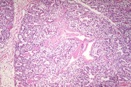
Low power photomicrographic of HMD showing immature lung with hyaline membranes.