![]() ![]() |
![]() |
A five and one-half month old girl was referred to neurology clinic by her pediatrician for evaluation of what the parents called "startle spells". Parents described sudden extension of the arms and legs and wide-eyed staring lasting for less than one second which was usually followed by several minutes of crying and irritability. Episodes had begun on an occasional basis several weeks previously, but had gradually increased to 10 or twenty daily.
Parents expressed no other medical concerns save for vision problems consisting of poor fixation and following. Review of past medical and perinatal history was unremarkable. Family history was pertinent for seizures and mental retardation affecting the child's paternal uncle.
Examination revealed an awake, somewhat irritable infant. Neurologic examination was remarkable for:
General physical examination was normal except for the skin, where a single, hypopigmented macular birthmark was visible to the naked eye. Upon examination with the Wood's lamp, multiple hypopigmented ash-leaf spots were seen upon the trunk and legs.


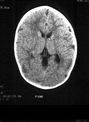
CT of the brain revealed ventriculomegaly and multiple
calcified subependymal nodules in the lateral ventricles. EEG showed a
disorganized pattern of asynchronous, high amplitude slow wave activity
with multifocal spikes which was felt to be consistent with hypsarrhythmia.

| thoban@lumc.edu | Last Updated: August 11, 1996 Created: July 25, 1995 |