Radiation Pneumonitis /

Fibrosis

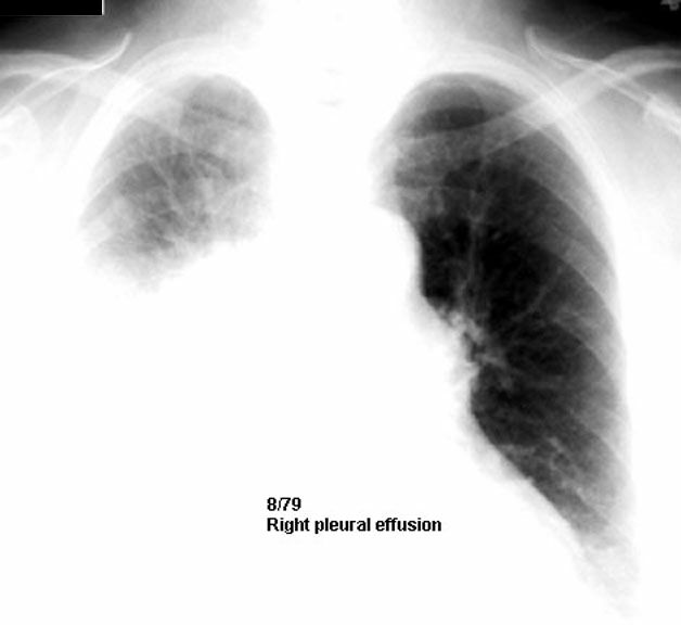
  • Patient with right malignant pleural effusion

Review subsequent films below.

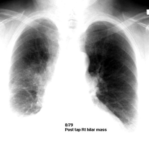
Post-tap film showing hilar mass
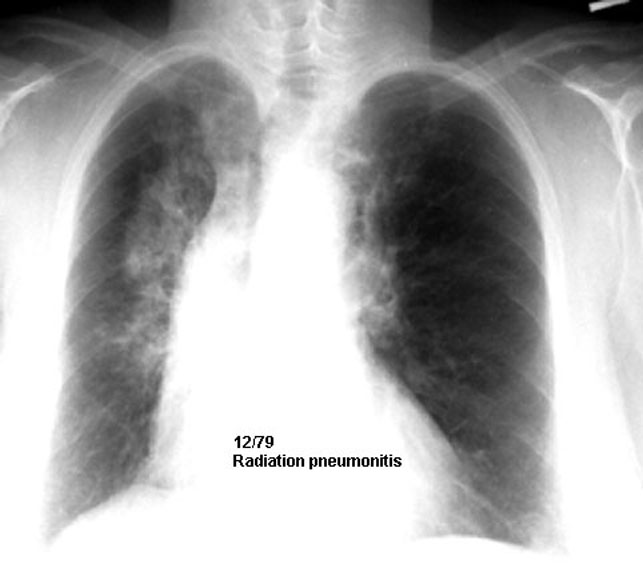
Radiation pneumonitis corresponding to radiation port.

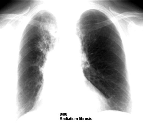
Note vertical line of demarcation corresponding to radiation port.

Radiation fibrosis corresponding to radiation port.