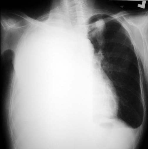
Massive Pleural Effusion

  • Unilateral homogenous density
  • Loss of diaphragmatic and right sided cardiac silhouettes
  • No mediastinal shift

  Other findings include:

  • Blunting of left cardiophrenic angle
  • LUL gloved finger density. Sorry I do not remember the etiology for this case.