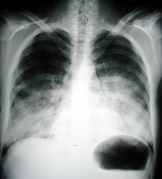
Medullary Distribution

  • It is also called "butterfly pattern"

  • Note the sparing of lung periphery both in the CT, PA and lateral views

  • This is one of the radiologic signs indicative of diffuse alveolar disease

This is an example of alveolar proteinosis.