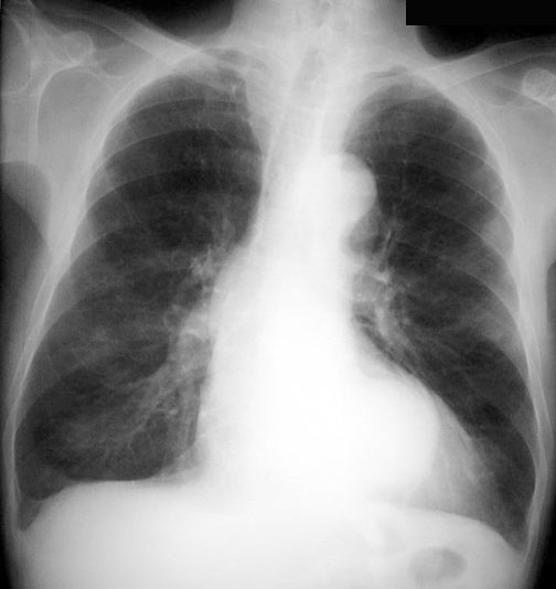
Inhomogeneous Cardiac Density / Double Density 

The heart should be of uniform density, except over the vertebra and descending aorta. Left atrial enlargement can be recognized by the circular double density. Any time you see increased density in one portion compared to the rest of the heart, consider an abnormal density either in front of or behind the heart. Consider the following when you encounter inhomogeneous cardiac density:
  • Esophageal disease
  • Posterior mediastinal masses 
  • Hiatal hernia
  • Left lower lobe disease
  • Descending aorta

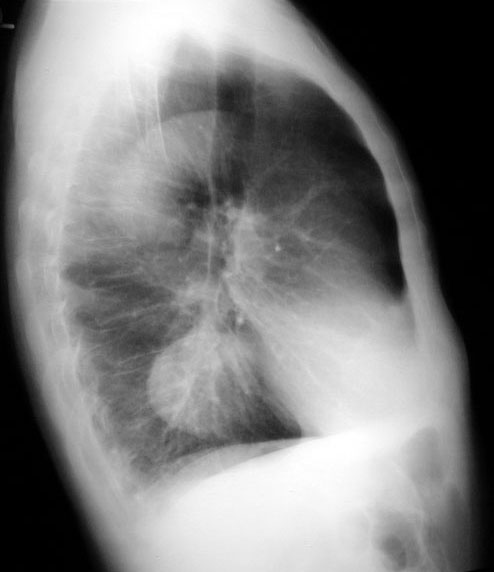
This is an example of an aorta aneurysm.