Alveolar Cell Carcinoma - Progression

  • Old film on left
  • Solitary pulmonary nodule resected
  • Onset of diaphragmatic paralysis
  • Progression to multicentric acinar nodules

 

 

 

 

 

 

 

 

 

 

 

 

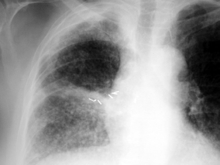
Solitary pulmonary nodule in right mid lung field

 

 

 

 

 

 

 

 

 

 

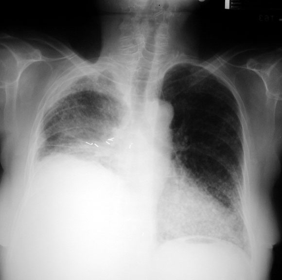
Diaphragmatic paralysis

 

 

 

 

 

 

 

 

Multi centric alveolar nodules