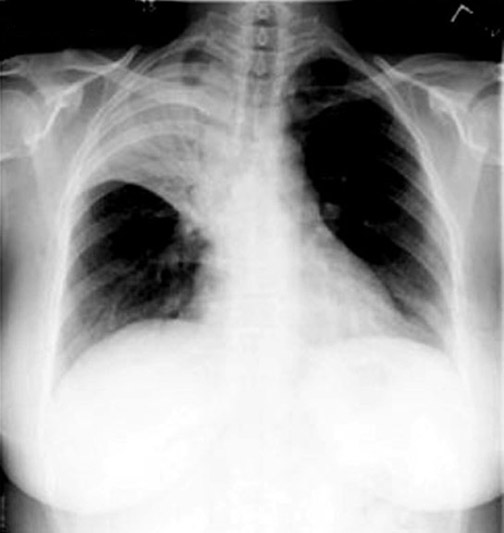
|  | Air Bronchogram In a normal chest x-ray, the tracheobronchial tree is not visible beyond the 4th order. As the bronchial tree branches, the cartilaginous rings become thinner, and eventually disappear in respiratory bronchioles. The lumen of the bronchus contains air and the surrounding alveoli contain air. Thus, there is no contrast to visualize the bronchi. The air column in the bronchi beyond the 4th order becomes recognizable if the surrounding alveoli is filled, providing a contrast or if the bronchi get thickened. 
                                             Note the branching radiolucent columns of air corresponding to the bronchi, in RUL consolidation in the adjacent CXR. 
 | |
| 
 | ||