![]() |
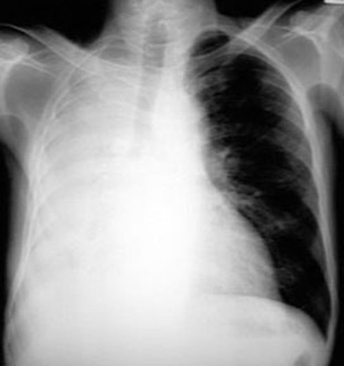
Resorptive atelectasis When airways are obstructed there is no further ventilation to the lungs and beyond. In the early stages blood flow continues and gradually the oxygen and Nitrogen get absorbed, resulting in atelectasis. The following in an example of right lung resorptive atelectasis. In this instance, atelectasis followed bronchial obstruction due to cancer. Lung is not permitted to assume complete atelectatic state as occusr in pneumothorax as it is held by the negative pressure in pleura. Some amount of fluid exudes into alveoli, and thus it is not completely empty. |