Pancreatitis

Pathology
Calcification in pancreas.

 

Potential complications
What are the useful imaging procedures to evaluate patients suspected to have pancreatitis?
What are the imaging findings of pancreatitis in plain radiographs?

Abdominal x-ray is not diagnostic, but may show:

Acute Pancreatitis

Findings:

  • Cut off sign

 

 

 

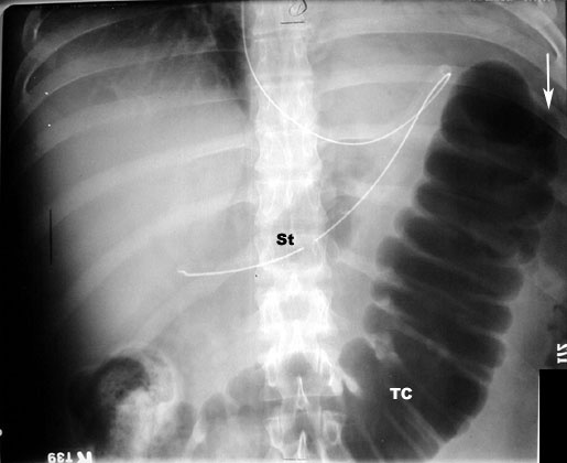
Acute Pancreatitis

Cut off sign and Ileus

  • White arrowpoints to Transeverse colon cut off at Splenic flexure. No air in descending colon.
  • TC: Transverse colon
  • I: Represents small bowel loops with air suggestive of Ileus

 

 

 

 

What are the imaging findings of pancreatitis in ultrasound?
What are the imaging findings of pancreatitis in CT?

Contrast-enhanced CT of the pancreas is diagnostic and can show:

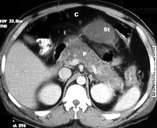
Acute Pancreatitis

CT Findings: Post Contrast

  • Diffusely enlarged pancreas with low density from edema

C: Colon
St: Stomach
P: Pancreas

 

Acute Pancreatitis

Phlegmon / Inflammatory mass

  • White arrowheads: Phlegmon
  • Black arrowhead: Pancreatic calcification
  • Large Arrow: Peripancreatic fascial infiltration

St: Stomach

 

 

 

Acute Pancreatitis / Pancreatic necrosis

  • Arrow: No enhancement of pancreas with IV contrast
  • Arrowheads: Normal enhancement in the tail of Pancreas.

St: Stomach

 

 

 

 

 

Acute Hemorrhagic pancreatitis

  • Enlarged tail of pancreas
  • White arrow: Increased density in the enlarged tail of pancreas due to blood
  • Fascial changes adjacent to tail of Pancreas due to inflammation

 

 

What are the imaging findings of chronic pancreatitis?

Chronic Pancreatitis

Arrowheads point to extensive pancreatic calcification.

 

 

 

 

Pancreatitis with Pseudocyst and calcifications

Mass density in pancreas

  • White arrow: Psudocyst
  • Black arrow: Calcifications

 

 

 

 

Which is the imaging procedure of choice in a suspected case of pancreatitis?